SportHorses.vet is an independent equine veterinary service based in Bocholt (3950), Belgium.
Specialized in equine orthopedics, sport horse medicine and performance-oriented veterinary care across Europe.

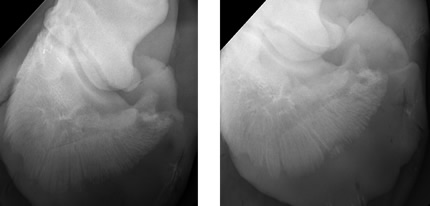
Pedal Osteitis in Horses
• Pedal osteitis is defined as an inflammatory disorder of the distal phalanx .
• The disorder is a result of peristent inflammation of the foot.
• Since the third phalanx does not have a medulla, the bone inflammatory processes is labeled osteitis as opposed to osteomyelitis.

• The disorder is more commonly seen in front limbs since 60% of the horse‘s weight is distributed there.
• Involvement can be unilateral or bilateral, depending on the cause.
• There are two types of pedal osteitis, nonseptic and septic.• Primar nonseptic pedal ostitis typically results from chronic sole bruising sustained from repeated concussion during excercise on hard surface. Secondary nonseptic pedal osteitis can be result of conformation faults or improper farrier work that have cause an uneven weight bearing on the sole.
• Typical radiographic findings are focal or generalized demineralization of the solar margin of the distal phalanx and widening of the vascular channels resulting in radiographic loss of the normally smooth border of the solar margin.
• Typically, bone demineralization will occur around the toe margin and irregular bone formation may be seen along the solar margin or the dorsal surface of P3.

• Severe cases of demineralization can weaken the bone margins and cause fractures of the distal phalanx.
• Gas may be present in the soft tissue adjacent to the surface of P3.
• The progression of healing of a P3 fracture is difficult to determine radiographically because of the minimal amount of external osseous callus produced by this bone.
• Solar margin fractures have a good prognosis if not associated with laminitis or severe pedal osteitis.
Equine Orthopedic Veterinarian
Bocholt 3950, Belgium
2023 © All rights reserved.
SportHorses.vet is an independent equine veterinary service based in Bocholt (3950), Belgium.
Specialized in equine orthopedics, sport horse medicine and performance-oriented veterinary care across Europe.