SportHorses.vet is an independent equine veterinary service based in Bocholt (3950), Belgium.
Specialized in equine orthopedics, sport horse medicine and performance-oriented veterinary care across Europe.

Sports horses can bruise the bones of the foot and fetlock joints, the coffin bone, the ends of the short and long pastern bones, and the lower end of the cannon bone. The foot and the fetlock receive tremendous force, and that force is concentrated in the small areas where these bones meet.

Although a bone bruise is not as serious as a fracture, there is microscopic damage to the bone. And as with any bruise, there is internal bleeding and swelling; but in this case, the fluid accumulates within the bone, causing bone edema.
Causes that increased risk: bruises and bone edema are caused by an impact when falling from a bad jump or by working on hard ground continuously, so jumping horses are at greater risk.
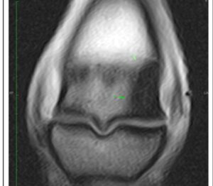
Signs: Bone edema or bone bruising are painful, so your horse will be sore. Your vet can isolate the painful area with nerve blocks, but sophisticated imaging techniques may be necessary to identify the cause. X-rays will not show microscopic bone damage, but a edema/hematoma may appear as a “hot spot” on a nuclear bone scan. MRI is a good diagnostic technology to outline the edema/hematoma.

MRI-Bone Edema
Treatment: Your horse will need some time off, perhaps three or four months, depending on the degree of edema. You can benefit from a long course of anti-inflammatory medications. NSAIDs such as Equioxx (firocoxib), which is in a class of medications called cox-2 inhibitors, may be a good option. These drugs tend to have fewer side effects than other NSAIDs when taken for long periods. Also according to the case in our practice Sport Horses Vet the use of medicine that remodel the bone, prostaglandins F 2 alpha, bisphosphonat etc..


Forecast: Bone Edema Injured bones heal slowly, but are generally as good as new once heals. Good shoeing (sometimes with pads that really do the job of absorbing bruising) and good balance can help prevent re-injury when your horse starts working again.

Horse Neck Sentigraphy
Equine Orthopedic Veterinarian
Bocholt 3950, Belgium
2023 © All rights reserved.
SportHorses.vet is an independent equine veterinary service based in Bocholt (3950), Belgium.
Specialized in equine orthopedics, sport horse medicine and performance-oriented veterinary care across Europe.